Rubber Dam Isolation for Improved Dental Bonding

Isolation with a rubber dam isn’t just for Instagram. Isolating your bonding field is essential for predictably treating pathologies and creating long-term bonds in an adhesive restoration. While many practitioners learn isolation in dental school, few continue the practice once they are treating patients in-office for a variety of reasons. Patients complain about the dam, placing the dam takes extra time or they lack confidence to place a dam on the first try. Read below for why isolation is so important and tips for practitioners, whether you are just starting to incorporate isolation into your practice or you want ways to improve your technique. 

The isolation in this case by Dr. Davey Alleman, DMD isn’t for photo quality. The isolation is to improve visibility for treatment and bond strength.

How isolation improves adhesive restorations

Salivary contamination in the bonding field has been shown to lower bond strengths, even in instances where saliva is dried or rinsed then dried. (Eiriksson S, Et al. Effects of saliva contamination on resin-resin bond strength. Dent Met. (2004) 20, 37-44). Rubber dam isolation blocks saliva from entering the bonding field, preventing a potential loss of bond strength during restoration. The physical barrier more consistently prevents contamination compared to other isolation products that only retract the gingiva.

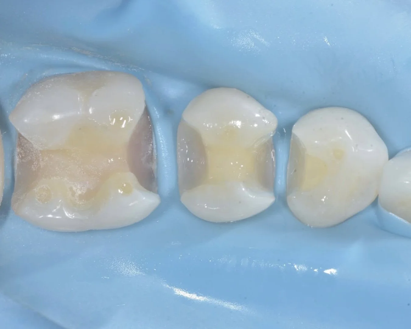
Bond strengths to deep areas of the tooth are improved with proper isolation in this case by Dr. Davey Alleman, DMD.

Using rubber dam isolation to increase predictability when treating caries and cracks

“You can’t treat what you can’t see.” Dr. Davey Alleman, DMD says this often when teaching isolation and use of magnification to increase predictability when treating caries and cracks. Isolation with not only rubber dam, but tools like teflon, copper, floss ligatures and cord, retract the gingiva to give you better visibility and access, especially when treating deep pathologies. This allows you to give your patients predictable, and improved, outcomes.

Rubber dam is paired with teflon tape, matrixing and copper placement to access deep restorative areas in this case by Dr. Davey Alleman, DMD.

Isolation tips for practitioners

Isolate before removing tooth structure

If the defect or restoration you are replacing is deep, place the rubber dam before beginning treatment. Additional tooth structure will make placing the dam easier, rather than trying to retract the gingiva after the structure affected by the pathology has been removed. 

Practice, practice, practice

Even though rubber dam isolation is taught in dental school, your skills may feel rusty if you do not regularly place a rubber dam. Give yourself time to rebuild this skill and remember that the process will get faster the more you practice. Before long you will wonder how you ever worked without a rubber dam.

Patient education

Isolating with a rubber dam is good for patients, they just might not see that at first. Proper patient education about the benefits of using the dam will help give them a positive mindset about something that might seem new to them. Emphasize improved outcomes and reduction in their exposure to restorative materials. Take the time to make sure patients are comfortable with the dam placement — that they can breathe easily through their nose and have a bite block if that helps their jaw relax. Patients at our office say they like the dam because they don’t have to worry about what to do with their mouth during treatment and can lie back and relax.

Work as a team

While this varies based on where you practice, dental assistants can help with much of the rubber dam isolation process: punching the dams, preparing floss ligatures, helping find the best clamp for a given case, etc. Involve your team in the learning process so you can find a workflow that is efficient for everyone.

For complex cases like this, having multiple isolation tools makes treating deep caries and performing deep margin elevation more predictable. Case by Dr. Davey Alleman, DMD.

To learn more about incorporating rubber dam isolation into your daily practice, view upcoming Alleman Center dental continuing education programs.

View Biomimetic Dentistry Training Programs

Learn more tools for predictable adhesive restorations, like resin coating, in this Six Lessons Approach Podcast episode with Dr. David Alleman, DMD.

Dr. David Alleman, DDS

Dr. David S. Alleman, DDS has over 40 years of experience as a dentist, currently practicing in Utah, USA. After seeing the results of traditional dentistry — symptomatic restorations that failed over time — he spent over eleven years pioneering the development of noninvasive dental procedures that addressed these concerns while conserving tooth structure. Dr. Alleman has condensed over 1,400 research articles into his Six Lessons Approach to Biomimetic Restorative Dentistry. This approach offers dentists a set of protocols to perform biomimetic restorations start to finish, providing alternatives to full coverage crowns and an end to sensitivity and recurring retreatment. Dr. Alleman has been using biomimetic procedures in his practice for more than 20 years. All Alleman Center training programs teach these same procedures so doctors anywhere can achieve the same results.

https://allemancenter.com/david-alleman
Previous
Previous

Dental Onlays, Inlays and Overlays: Predictable Fabrication and Bonding Guide

Next
Next

Dentin Restoration: How to Trust Your Bond to Dentin