Back to All Events

Advanced Occlusion Workshop


  • Alleman Center of Biomimetic Dentistry 3651 North 100 East Street, Ste 200 Provo, UT, 84604 United States (map)

Advanced Occlusion Workshop

Dr. David Alleman, DDS
Dr. Davey Alleman, DMD

Fall 2026 — Two days, scheduled based on attendee availability

CE: 16 Hours
Prerequisite: Biomimetic Mastership or SLA Workshop


Course outline

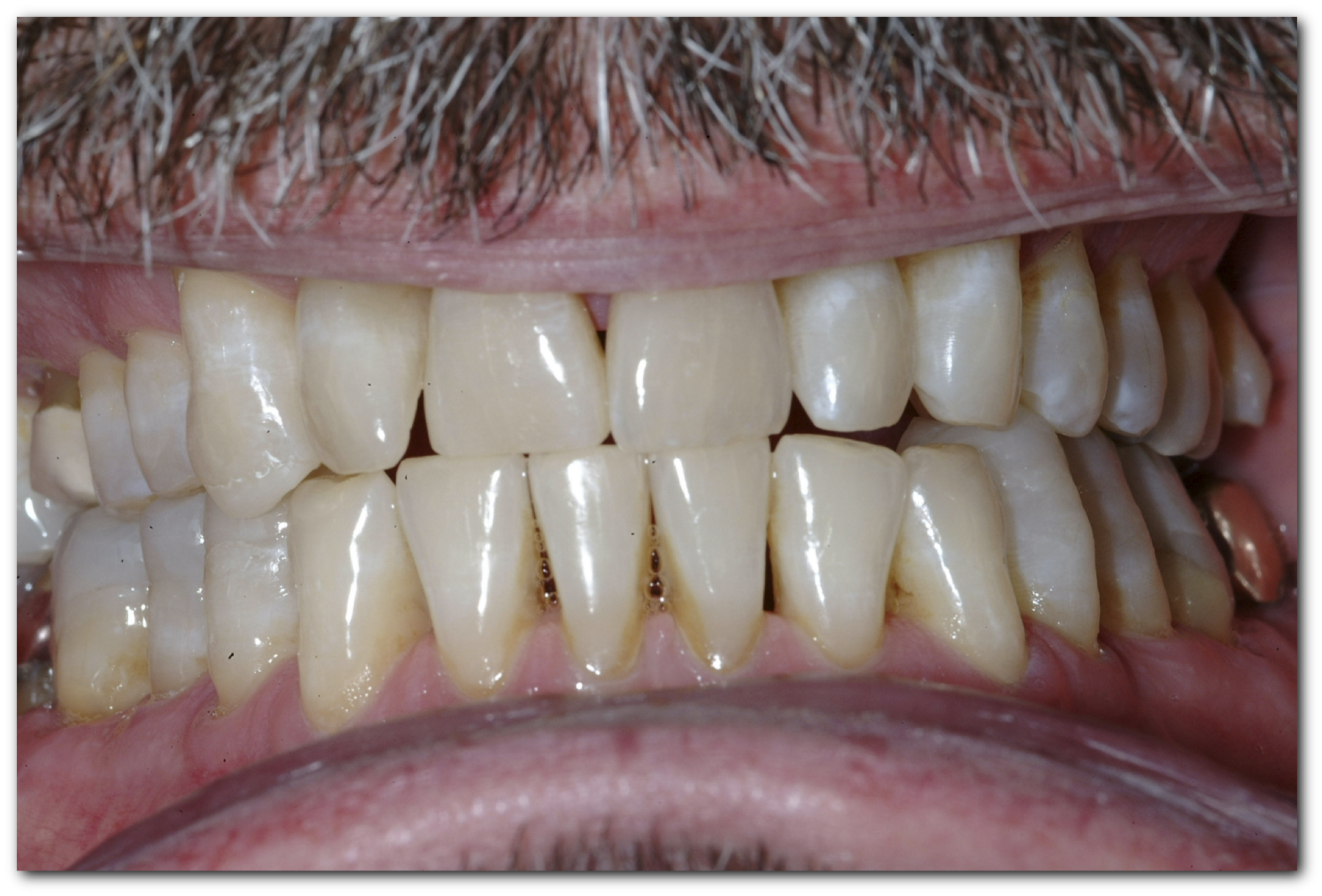
Dahl appliance example, case by Dr. David Alleman, DDS

Method: In-person lectures including techniques, relevant literature and case review and in-operatory practice on full case creating Dahl appliance and four onlays under microscope.

CE: 16 Participation Hours
Prerequisite: Biomimetic Mastership or SLA Workshop

Learning objectives:

Doctors will learn:

  • Occlusal adjustment treatment planning for single tooth, quadrant and full mouth cases

  • Opening envelope of function with Dahl appliance for TMJ treatment

  • Additive techniques for occlusal adjustment


Workshop Information

In-person Alleman Center programs offer individualized training in a small-group setting.

Beyond daily dentistry, biomimetic occlusion can benefit advanced cases with a minimally invasive approach. In this two-day workshop, alumni build on Six Lessons Approach protocols and learn how to plan and treat full-mouth occlusion cases, including use of a Dahl appliance. The course will include multiple case examples with opportunities for attendees to practice all techniques in-operatory.

As part of this course doctors also receive:

  • Articles supporting the course materials

  • A one-on-one treatment planning session after the workshop with Dr. David Alleman or Dr. Davey Alleman to discuss one of their current cases


Meet the Instructors

Dr. David Alleman, DDS

Dr. Davey Alleman, DMD


Workshop Schedule

Day 1:

In-person lectures including techniques, relevant literature and case review

Day 2

In-operatory practice on full case creating Dahl appliance and four onlays under microscope

Learn hands-on with Dr. David Alleman and Dr. Davey Alleman at the Alleman Center office


Workshop Registration

Tuition $4,500
Early-bird Tuition $3,800
Limited to three doctors

Questions? Email us at info@allemancenter.com.

 
This was great for me. I think it was the right amount of information and at the right depth for understanding and practical daily application of principles. Everyone was knowledgeable, friendly and happy to answer any questions. Both learning experience (didactic and practical) and hospitality were superb. I’d highly recommend this experience. Thank you.
— Feedback from a 2023 Workshop Attendee
Previous
Previous
September 30

Biomimetic Mastership - In-Person

Next
Next
December 4

In-Person Workshop: Six Lessons Approach to Biomimetic Dentistry